(630) 679-9000
Hablamos Español
The image is a photograph of a smiling woman with dark hair, wearing a sleeveless top and standing on a sandy beach.

Smile Gallery

The image is a photograph of a smiling woman with dark hair, wearing a sleeveless top and standing on a sandy beach.
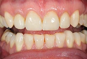
The image shows a person with yellowed teeth, smiling broadly.

Before

The image shows a close-up of a person s smiling mouth with white teeth and visible lip contour.

After

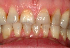
An image of a person s teeth with visible signs of wear and discoloration, likely for dental care or cosmetic purposes.

Before

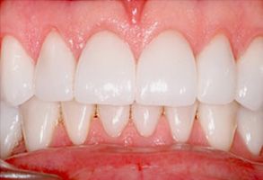
An image of a close-up view of a person s teeth, showcasing a dental implant with a pink gumline.

After

The image displays a close-up of a person s lower face, showcasing a smile with teeth and lips.

Before

Smiling mouth with white teeth and pink tongue against a blurred background, likely for dental care or oral hygiene promotion.

After

The image shows a close-up of a person s teeth with an emphasis on the upper front teeth, which appear to be in need of dental care due to discoloration and potential decay.

Before

Image of a close-up view of human teeth with a focus on the lower front teeth, showcasing dental implants or veneers.

After

The image displays a close-up view of a person s teeth, showing multiple yellowed and stained teeth in an open mouth with visible gumline.

Before

The image shows a close-up of a person s teeth with a focus on the front teeth, which appear to be in need of dental care due to discoloration and possible decay.

After

Dental implant with a visible screw, showcasing the process of dental restoration.

Before

The image shows a close-up of a person s teeth, featuring a set of white porcelain veneers with natural-looking edges and a smooth, glossy finish.

After

Dental implant with a visible screw and surrounding teeth.

Before

The image shows a close-up of someone s teeth with a focus on the front teeth, which appear to be in need of dental care due to discoloration and potential decay.

After

Contact Us

Schedule your appointment online or give us a call to get started today.

Hablamos Español

Dental Smiles of Bolingbrook 495 S Weber Rd, Bolingbrook, IL 60490